Предстательная железа (простата) — это придаточная половая железа у самцов, имеет железисто-мышечную структуру и дольчатое строение, выполняет секреторную функцию.
Предстательная железа овальной формы, окружает проксимальную часть уретры в области шейки мочевого пузыря, ее протоки впадают в уретру по окружности. На дорсальной поверхности она делится на две доли с перегородкой посередине. Основная функция железы — выработка секрета, которые является поддерживающей и транспортной средой спермы во время эякуляции. Так же она играет роль клапана, закрывающего выход из мочевого пузыря во время эрекции.
Семенная жидкость механически разбавляет продуцируемую семенниками сперму, увеличивая объем эякулята, способствует движению жизнеспособных спермиев вне организма самца. Базальная секреция небольших количеств секрета приводит к его постоянному поступлению в выводные протоки и простатическую часть уретры.
Как осуществляется подготовка к УЗИ предстательной железы?
Рекомендуется голодная диета у собак 8-10 часов со свободным доступом к воде. В месте контакта датчика удаляется шерсть (машинкой для стрижки), наносится акустический гель. УЗИ предстательной железы необходимо проводить при наполненном мочевом пузыре.
Показания к проведению УЗИ предстательной железы:
- Простатомегалия;
- Боль в области предстательной железы;
- Патологические изменения семенников;
- Лейкоцитурия;
- Гематурия;
- Пиурия;
- Обнаружение в моче бактерий, спермиев;
- Обнаружение в моче атипичных клеток;
- Выделения из уретры;
- Патологическая спермограмма;
- Дизурия;
- Изменение походки, не связанное с болезнями опорно-двигательного аппарата;
- Анурия;
- Тенезмы при дефекации;
- Признаки констипации (задержка дефекации);
- Изменение дефекации (фекалии в виде ленты);
- Рекомендовано проведение УЗИ предстательной железы у всех некастрированных кобелей старше 5 лет.
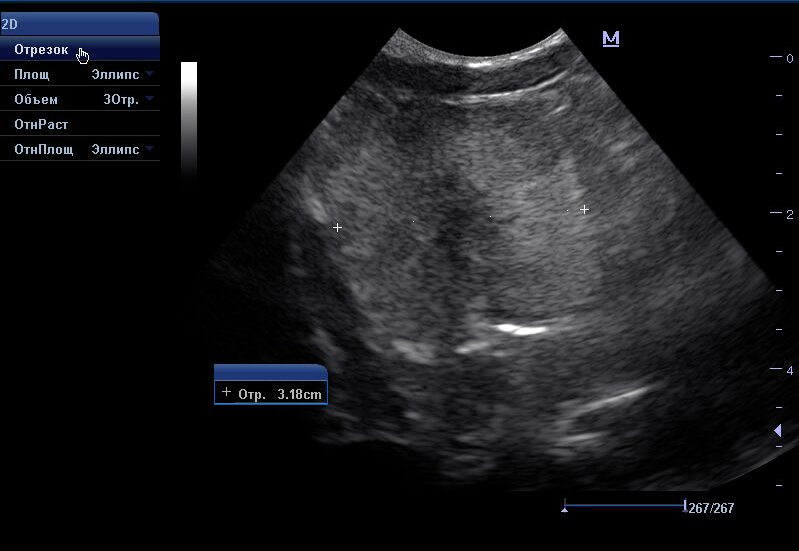
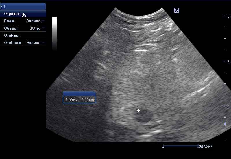
В норме при УЗИ предстательная железа с четким ровным контуром, однородная, зернистая, без патологических образований. Простатическая часть уретры не расширена. Доли симметричные, округлые. Нормальные размеры предстательной железы у кобелей 2-4см.
Какие возможности предоставляет УЗИ предстательной железы:
- Диагностика простатомегалии, установление причин;
- Диагностика кистозных образований;
- Диагностика гиперплазии;
- Диагностика острого и хронического простатита;
- Диагностика новообразований (очаговых, диффузных)
- Диагностика абсцессов;
- Диагностика аденомы.
Наши ветеринарные клиники оснащены новейшим оборудованием экспертного класса, специально адаптированным для животных, диагностику проводят специалисты УЗ-диагностики, имеющие большой опыт работы со многими видами животных. Получить подробную информацию и записаться на прием можно по телефонам клиник.







